The eTwo offers both skin and collagen support, combining the unique Sublime and Sublative applications. The Sublime is for Collagen regeneration and the Sublative is for skin resurfacing.
This page provides a comprehensive overview of the eTwo Sublime and Sublative, how they differ and skin concerns this treatment addresses.
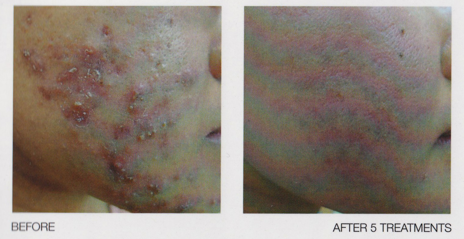
Sublative Rejuvenation is a form of radio frequency skin resurfacing which is an alternative to laser skin resurfacing. It delivers bi-polar radio frequency energy to the skin with low epidermal disruption and with high dermal impact.
Sublative Rejuvenation works to effectively treat mild to moderate wrinkles, red and brown spots and textural irregularities. Over just 3 treatments the skin stimulates cell renewal and collagen production.
eTwo Sublative is designed to address the following:
Sublative treatment stimulates cell renewal and collagen production – using your body’s own processes to regenerate the facial skin. The fractionated bipolar radio-frequency technology places the heat energy effectively into the upper dermis where it can produce a significant increase in both collagen and elastin with minimal epidermal disruption.
During the treatment, you may feel a warm, prickly sensation. After treatment a pink or “sunburnt” appearance and feeling is common. Topical anaesthetic and cooling may be used to reduce discomfort during treatment.
Typically 3 to 5 treatments, 4 to 6 weeks apart. The total number of required treatment sessions depends on the condition of your skin and your personal concerns. A personalised treatment plan will be discussed with you at your initial consultation and skin analysis.
At Prèface Cosmetic we ensure patients have met the necessary criteria for recommended treatments and procedures. It’s important to be aware of the risks associated with treatments in order to make an informed decision. Results from our treatments and procedures vary patient to patient according to factors including genetics, age, diet and exercise.
Risks and side effects of eTwo Sublative:
There is minimal downtime associated with eTwo Sublative, with a maximum expected downtime of 3-4 days. Most patients can quickly resume their normal activities immediately post treatment.
Sublative Acne Treatment Results
Sublative Neck Treatment Results
Sublative Peri-Orbital Treatment Results
Sublative Wrinkles & Texture Results
eTwo Sublime uses combined energies to effectively stimulate collagen production to support your overall skin quality.
Sublime is especially effective on eyes, brow lines, cheeks and the neck. This treatment is not as aggressive as Thermage. It still stimulates collagen production, providing immediate and long-term support of wrinkles and facial contour.
At Prèface Cosmetic we ensure patients have met the necessary criteria for recommended treatments and procedures. It’s important to be aware of the risks associated with treatments in order to make an informed decision. Results from our treatments and procedures vary patient to patient according to factors including genetics, age, diet and exercise.
Risks and side effects of eTwo Sublime:
Some redness and swelling immediately after the treatment.
There is little to no downtime involved with eTwo Sublime. Some patients do however experience some temporary pinkness due to the deep layers of skin heating during the treatment.
eTwo Sublime is designed to address the following:
Sublime aims to address the face and neck. Skin texture can also be smoothed out by the firming effect of the treatment.
The number of treatments will vary between patients and depend on a number of factors. Typically between 3 to 5 sessions approximately 4 weeks apart. The best results are seen 3-6 months post completion with maintenance approximately every 6 months depending on your skin condition. A personalised treatment plan will be discussed with you at your initial consultation and skin analysis.


Collagen is the scaffolding of the skin and connects the muscles for facial expression to the overlying skin. Overtime, our collagen tends to degenerate and lose its elasticity allowing facial skin to form wrinkle lines. Prèface Cosmetic has several treatments available to allow regeneration of collagen.
At Prèface Cosmetic, we have a wide range of skin & collagen treatments for you to chose from, depending on your concern. These include Pelleve, Thermage, Omnilux Lights, Photodynamic Therapy (PDT), Dermasweep Microdermabrasion and Dermapen Advanced Skin Needling.
The Australia Health Practitioner Regulation Agency (AHPRA)’s updated guidelines for registered practitioners who advertise cosmetic surgery require visitors to our website to be 18 years old or over. Content on our website relates to surgical and non-surgical cosmetic procedures.